Your Home For Dental Implants In Columbia, MD
Missing teeth can change the way you eat, speak, and smile, but lasting solutions are within reach. At our office, we provide dental implants in Columbia, MD, with a focus on comfort, precision, and natural-looking results. Whether you need one replacement tooth or a full-arch restoration, our dentists will create a treatment plan around your goals, health, and budget. As a trusted provider of implant dentistry, we combine advanced technology, careful planning, and personal care to help you regain confidence. Discover how we can restore function, stability, and the freedom to smile without hesitation. Give us a call today!
Looking for dental implants in Columbia, MD?
Call 410-872-3999 or schedule your consultation.
Implants We Offer
Single- or Multiple-Tooth Implants
If you are missing one tooth or several teeth in different areas, implant dentistry can restore your smile with strength and stability. Single and multiple-tooth dental implants in Columbia, MD, are designed to look natural, support healthy chewing, and help preserve jawbone structure over time. Unlike removable options, implants stay securely in place and function like your own teeth. Implant dentistry starts with a detailed evaluation so we can recommend the right number of implants and restorations for your needs. With care from our experienced implant dentists, you can enjoy a comfortable solution built to last.
All-on-4® Implants (Full-Arch)
All-on-4® implants in Columbia, Maryland, offer a streamlined way to replace a full upper arch, lower arch, or both with fewer implants and a secure restoration. This treatment is ideal for patients who want a more stable alternative to traditional dentures and a faster path to a confident smile. Our dentists and team plan every case carefully, using advanced imaging and precise placement to support long-term success. With full-arch dental implants, you can enjoy improved comfort, stronger biting power, and a smile that looks natural. As a leader in implant dentistry, we help patients reclaim daily function, comfort, and confidence.
Implant Overdentures (Snap-in Dentures)
Implant overdentures, also called snap-in dentures, combine the convenience of a removable appliance with the added security of dental implants. Instead of slipping or shifting, your denture attaches to implants for a more confident fit during meals, conversation, and everyday life. This option can be a great choice for patients seeking added stability without a full fixed restoration. Our dentists will evaluate your oral health, jawbone support, and smile goals to determine whether implant overdentures in Columbia, MD, are right for you. For patients exploring tooth replacement solutions, this treatment offers improved comfort, easier function, and greater day-to-day confidence.
Complimentary Consultation
Your New Smile is One Click Away
A healthier, more confident smile starts with one conversation. During your complimentary consultation at Joobbani Dental Designs, our dentists will listen to your goals, examine your smile, and discuss which implant solutions may fit your needs. We believe patients deserve clear answers, honest guidance, and a care plan that feels manageable from day one. If you have been searching for a Columbia implant dentist who values education and personalized attention, you are in the right place. Call 410-872-3999 today to schedule your personal consultation with Dr. Babak Joobbani or Dr. Jennifer Joobbani and learn about our dental implant solutions!
Check Out Our Different Financing Options
We never want cost to stand between you and the smile you deserve. That is why we offer flexible financing options for implant treatment, helping you move forward with clarity and confidence. Our team is happy to walk you through available solutions and answer questions so you can plan comfortably with ease.
From monthly payment arrangements to guidance on maximizing benefits, we make the financial side of care easier to understand. We believe informed patients make confident decisions, and we are here to help you explore practical ways to begin treatment. Call to schedule your implant consultation in Columbia, Maryland!
Schedule Consultation
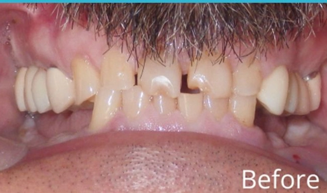
Over 1,000 Implants Placed!

Real Results That Speak For Themselves
Our before-and-after results show what thoughtful planning and skilled implant care can achieve. From replacing a single missing tooth to rebuilding a full smile, our dentists and team focus on results that look natural and feel dependable. Every treatment plan is designed around function, health, comfort, and lasting confidence for each unique patient.
Visit our office to see how advanced implant dentistry in Columbia, MD, can restore more than your smile. We are dedicated to helping you enjoy stronger function, improved comfort, and renewed self-assurance. When you are ready to take the next step, our team is here to guide you. Give us a call today!
Set Up Your Consultation